〈月~金〉10:00~12:30 / 14:30~19:00
〈土〉10:00~12:30 / 14:30~17:00
このようなお悩み
ありませんか?
- 入れ歯があっていないのか噛みにくい
- 入れ歯のバネが気になって人前で笑えない
- 入れ歯の取り外しがわずらわしい
- うまく話せない
- 入れ歯が簡単にはずれてしまう
- 入れ歯が安定しない
- 短期間で治療を行いたい
このようなお悩みをお持ちの方には
インプラント治療を
おすすめします
WHAT IS IMPLANT?インプラントとは
インプラントは、失われた歯のかわりに人工の歯根を骨に埋め込み、
歯の機能を取り戻します。
入れ歯やブリッジと違い、審美性に優れ、
周囲の健康な歯を傷つけません。
通常、1本の歯を失った場合、1本のインプラントを入れますが、
複数の歯を失っている場合や入れ歯を支える場合は数本のインプラントを
埋入して治療を行います。
インプラントは、
この
3構造からなります
- 直接食物などに
触れる上部構造である義歯 - 両者を繋ぐパーツ、
アバットメント(支台) - 顎の骨に埋め込む
チタン製の人工歯根
TREATMENT当院ではこのような
インプラント治療を行っております
インプラント治療
1本から複数本まで行っています。
骨が薄い方や骨密度の低い方、難症例の方のインプラント治療も可能です。
静脈内鎮静法も行っていますので不安に思っていらっしゃる患者さんもまずはご相談ください。




インプラント
オーバーデンチャー
治療を受ける患者さんの顎の骨に2本または、4本のインプラント体を埋め込み、そのインプラント体であるフィクスチャーを支柱として、入れ歯を金具や磁石で接続する治療法をインプラントオーバーデンチャーといいます。
インプラントと入れ歯を併用する治療法の一つです。
オールオンフォー
高度なインプラントの治療法であるオールオンフォー治療が可能です。それは、無歯顎の患者さんに4本のインプラントを使って、入れ歯ではなく固定性のブリッジを入れるという方法です。そのため、即日仮義歯を固定して噛める状態で入院せず帰宅する事ができます。




即時荷重
即時荷重インプラントとは、インプラントを埋入した直後に人工歯を取り付けます。外科処置を1回に減らすことができ、通院回数、治療期間も短くなるため、患者さんの負担を軽減します。
REASON当院のインプラント治療が
選ばれる5つの理由
35年の臨床経験を持つ
院長による
インプラント治療
当院の院長はインプラント治療において35年の臨床経験があり、
日本歯周病学会の歯周病専門医でもあります。
インプラントを埋める場所が歯周病の方は、他の歯も歯周病にかかっている
ケースが
多く、インプラントを長持ちさせるためには、
お口全体の歯周病を徹底的にコントロールする必要があります。
当院では、歯周病専門医である院長が適切な診断のもと、
インプラント治療を行っていきます。




できるだけ痛くない治療
麻酔科医が静脈注射により、鎮静剤を緩除に投与していきます。
治療中は完全に意識がなくなるわけではありませんが、
痛みや恐怖感、不安感をほとんど感じることなく
手術を受けていただけます。






静脈内鎮静法
当院では、静脈内鎮静法を行うことが可能です。鎮静薬のリラックス効果などにより、不安や緊張を減らし、インプラント治療中はぼんやりとした状態で手術を受けていただけます。静脈内鎮静法に関しては、麻酔科医が責任を持って麻酔を行うので、患者さんにも安心していただけるかと思います。
専門の麻酔科医の立会いの下、治療を行います。
全身管理を行い治療を進めていきます。
データに基づく歯科治療
当院では、インプラント埋入時にガイドを使用します。
CT撮影のデータを基に、コンピューターソフトでインプラントを埋め込む
位置や
方向のシミュレーションをしっかりと行い、その後、
3次元立体プリンターでガイドを作製します。
当院では、口腔内スキャナーによる光学印象を導入しています。
スティック状のカメラで歯をなぞるだけで、
3Dデータを作成できる様になったため、
印象材を使用した採得では嘔吐反射のある患者さんや苦手な方も
負担を軽減することが可能です。




〈月~金〉10:00~12:30 / 14:30~19:00
〈土〉10:00~12:30 / 14:30~17:00
CASE症例紹介
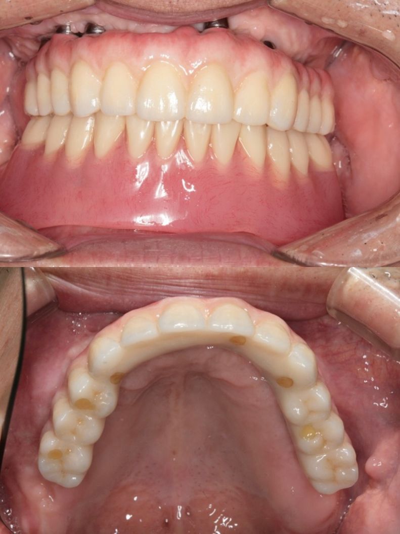
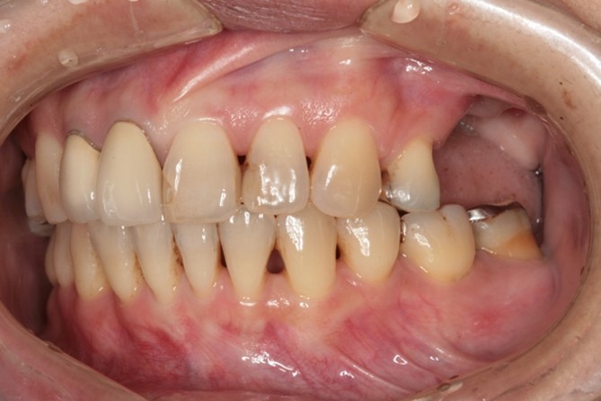
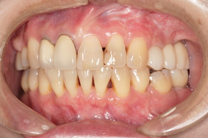
症例1




| 年代 | 62歳(2019年現在、75歳。最終補綴写真は75歳時) |
|---|---|
| 性別 | 女性 |
| 治療内容 | 【部分床義歯での咀嚼障害、残存歯の高度歯周病】 上下全額欠損へのインプラント支持の全部床義歯(総義歯)、レントゲン診断、CT診断、補綴シミュレーション、血液検査、心電図、CT撮影ステント製作、サージカルガイド製作、治療用義歯、静脈内鎮静法抜歯、インプラント埋入、同時骨造成手術、骨の治癒期間(4ヶ月)、静脈内鎮静法、2次手術、印象・咬合採得、インプラント上部構造装着、義歯装着、メインテナンス |
| 治療期間 | 4ヵ月 |
| リスク | 術中の不可抗力によるトラブル(出血など)、術後注意事項を守らないことによる疼痛、感染、上部構造装着後口腔内清掃を怠ったことによるインプラント周囲組織の炎症 |
| 副作用 | 義歯の咬耗、義歯の破損、治療後の口腔内清掃、及びメインテナンスを怠ったことによるインプラント周囲粘膜炎またはインプラント周囲炎 |
| 費用 | 3,300,000円(税込)(上下顎) (CT撮影診断、血液検査、心電図モニター、補綴シュミュレーション、CT撮影用ステント製作、サージカルガイド製作、治療用義歯、静脈内鎮静法、インプラント埋入、骨造成手術、投薬、2次手術、印象・咬合採得、インプラント上部構造、義歯製作などを含む) |
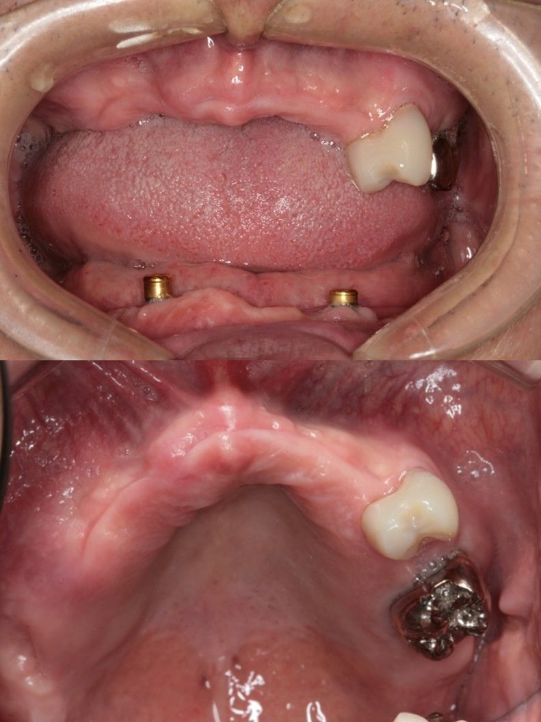
オールオン6(ボーンアンカードブリッジ)
インプラントオーバーデンチャー(ロケーターアタッチメントで義歯の維持)




| 年代 | 61歳 |
|---|---|
| 性別 | 男性 |
| 治療内容 | 上顎部分床義歯、下顎全部床義歯で咀嚼障害。高度の骨吸収(インプラント困難な症例) 上額のオールオン6インプラント治療。下顎インプラントオーバーデンチャーによる治療。 レントゲン診断、CT診断、補綴シミュレーション、血液検査、心電図、CT撮影ステント製作、サージカルガイド製作、治療用義歯、静脈内鎮静法抜歯、骨造成手術、サイナスリフト(上顎洞底挙上術)インプラント埋入、骨の治癒期間(4ヶ月)、静脈内鎮静法、2次手術、印象・咬合採得、インプラント上部構造装着、義歯装着、メインテナンス |
| 治療期間 | |
| リスク | 術中の不可抗力によるトラブル(出血など)、術後注意事項を守らないことによる疼痛、感染、上部構造装着後口腔内清掃を怠ったことによるインプラント周囲組織の炎症 |
| 副作用 | 治療後の口腔内清掃、及びメインテナンスを怠ったことによるインプラント周囲粘膜炎またはインプラント周囲炎 |
| 費用 | 4,400,000円(税込) (CT撮影診断、血液検査、心電図モニター、補綴シュミュレーション、治療用義歯、サージカルガイド製作、静脈内鎮静法、インプラント埋入、骨造成手術、サイナスリフト(上顎洞底挙上術)投薬、2次手術、印象・咬合採得、インプラント上部構造などを含む) |
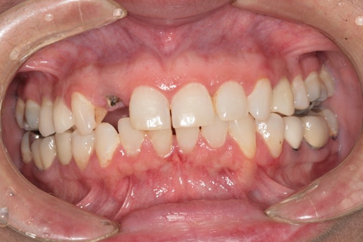
抜歯即時インプラント埋入




| 年代 | 56歳 |
|---|---|
| 性別 | 女性 |
| 治療内容 | 高度齲蝕歯の抜歯と抜歯即時インプラント埋入1本、上顎前歯の審美補綴(ジルコニアセラミック冠)3本 上額前歯1本の抜歯即時インプラント。上顎前歯3歯のジルコニアセラミックによる歯冠補綴 レントゲン診断、CT診断、補綴シミュレーション、血液検査、心電図、サージカルガイド製作、静脈内鎮静法、抜歯、インプラント埋入、暫間補綴、印象・咬合採得、インプラント上部構造装着、ジルコニアセラミック冠装着、メインテナンス |
| 治療期間 | |
| リスク | 術中の不可抗力によるトラブル(出血など)、術後注意事項を守らないことによる疼痛、感染、上部構造装着後口腔内清掃を怠ったことによるインプラント周囲組織の炎症 |
| 副作用 | 治療後の口腔内清掃、及びメインテナンスを怠ったことによるインプラント周囲粘膜炎またはインプラント周囲炎 |
| 費用 | 1,056,000円(税込) (CT撮影診断、血液検査、心電図モニター、補綴シュミュレーション、治療用義歯、サージカルガイド製作、静脈内鎮静法、インプラント埋入、投薬、2次手術、印象・咬合採得、ジルコニアセラミック歯冠補綴、インプラント上部構造などを含む) |
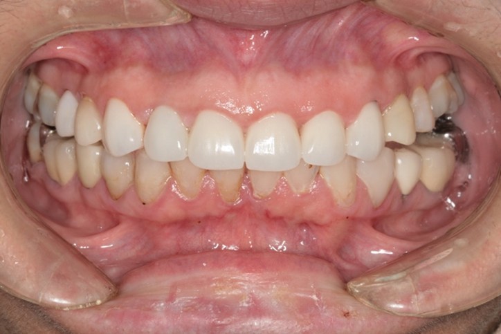
抜歯即時インプラント埋入




| 年代 | 52歳 |
|---|---|
| 性別 | 女性 |
| 治療内容 | 矯正治療後の高度の骨吸収によって抜歯。上顎骨は上顎洞との間に殆どなくなっていて、歯槽骨の再建とサイナスへの骨造成手術後にインプラントを行った。3歯欠損に対しインプラント2本でのブリッジ補綴。 レントゲン診断、CT診断、補綴シミュレーション、血液検査、心電図、サージカルガイド製作、静脈内鎮静法、骨造成手術、サイナスリフト(上顎洞底挙上術)インプラント埋入、印象・咬合採得、インプラント上部構造装着(ジルコニア)メインテナンス |
| 治療期間 | |
| リスク | 術中の不可抗力によるトラブル(出血など)、術後注意事項を守らないことによる疼痛、感染、上部構造装着後口腔内清掃を怠ったことによるインプラント周囲組織の炎症 |
| 副作用 | 治療後の口腔内清掃、及びメインテナンスを怠ったことによるインプラント周囲粘膜炎またはインプラント周囲炎 |
| 費用 | 1,760,000円(税込) (CT撮影診断、血液検査、心電図モニター、補綴シュミュレーション、サージカルガイド製作、静脈内鎮静法、骨造成手術、サイナスリフト、インプラント埋入、投薬、2次手術、印象・咬合採得、インプラント上部構造(ジルコニア)(などを含む) |
TOTAL FEE治療費
当院では、患者さんの症例とご要望を確認させていただいた上で
個別にお見積もりを作成し費用を説明させていただいています。
| インプラント1本 (埋入+上部構造) ※バイオホライズンインプラント限定 |
286,000円(税込) バイホホライズンズインプラント+樹脂製上部構造 |
|---|---|
| インプラント埋入手術 | 220,000円(税込・自費)~297,000円(税込・自費) |
| インプラント・ 上部 |
66,000円(税込・自費)~297,000円(税込・自費) |
| インプラント埋入 ※バイオホライズンインプラント限定 |
220,000円(税込・自費) |
| 上部構造(樹脂製) ※バイオホライズンインプラント限定 |
66,000円(税込・自費) |
| インプラント・ ロケーター |
165,000円(税込・自費) |
| 静脈内鎮静法 | 71,500円(税込・自費) |
| 骨造成手術 | 165,000円(税込・自費)〜550,000円(税込・自費) ※治療法は症状により適したものを選択し、ご説明します。 ※ソケットリフト、サイナスリフト、GBR、エクストルージョン、スプリットクレフトetc |
価格は全て税込表記です。
注)インプラント1本の治療費はインプラント埋入費用とインプラント上部構造の合計になります。
注)治療費用は希望される補綴様式(固定式または可撤式か上部構造の材質)インプラントの種類、本数によって決まります。
注)治療費にメインテナンス費用は含まれません。
注)治療開始前には数種の治療計画書を作成しています、患者さんに合った治療をご選択ください。
お支払い方法
お支払いは現金、または
各種クレジットカードがご利用いただけます。
さらに、月々払いでインプラント治療の費用負担がより軽減できる
デンタルローンでの支払いも可能です。
ご質問などありましたらお気軽にスタッフにお尋ねください。
医療費控除について
自分自身や家族のために、その年の1月1日から12月31日までの間に10万円以上の医療費を支払った場合、税務署へ確定申告することで、治療費の一部が戻ってきます。領収書や通院の際にかかった経費の領収書などは大切に保管しておきましょう。
GREETING院長挨拶
お一人おひとりの患者さんの
人生にかかわる治療を
しているという思いで、毎日の診療に向かっています。
インプラント治療をするのであれば、衛生的で安心できる歯科医院を選びたいとお考えの方が多いかと思います。当院のインプラント治療は、35年のキャリアがあります。患者さんには、私自身も受けたいと思えるような治療、また歯科医師の仲間からも通いたいと思ってもらえるような治療を提供したいと考えて診療しています。
その為にも、ただ治療をやって終わりにするのではなく、その後のメインテナンスまでしっかりと行うようにしています。
また、細菌検査などを活用した歯周病予防など、データを重視した治療にも取り組んでいます。インプラント治療に不安のある方や、過去の治療でお悩みの方も、まずはご相談ください。骨造成手術やインプラント周囲炎への対応も行っています。


略歴
-
- 1987年
- 愛知学院大学歯学部歯学科卒業
-
- 1987~1989年
- 愛知県の歯科医院にて勤務
-
- 1989~1990年
- 奈良県の歯科医院にて勤務
-
- 1990年
- 高山歯科室開院
資格・所属学会
- 日本口腔インプラント学会会員
- 日本歯周病学会会員
- 日本歯周病学会認定専門医
- 日本臨床歯周病学会会員
- 東海インプラント・歯周病研究会代表
- 日本先端歯科技術研究所会員
FLOW治療の流れ
STEP01
カウンセリング
STEP01
問診票、歯周病検査、レントゲン写真等により、お口の中の症状、状態から治療方法などをご説明いたします。インプラント治療に関する疑問や不安がありましたらお気軽にお尋ねください。


STEP02
検査・診断
STEP02
治療を行うためには、口腔内の状態や骨の状態など、様々なデータが必要です。
診断に必要な検査を行います。


STEP03
治療計画説明
STEP03
検査結果から患者さんに合った治療方法、治療期間、費用などをご説明いたします。
治療計画に同意をいただけましたら、手術の日程を決定します。
STEP04
インプラント埋入手術
STEP04
インプラントを顎の骨に埋める手術を行います。麻酔をして行うため、痛みの心配はありませんが、怖い方は静脈内鎮静法(点滴で眠っていただく)にて更に少ない痛みで手術を行うことも可能です。また、当院では、インプラントの埋入方向を決めるガイドを使用します。


STEP05
治癒期間
STEP05
インプラントと顎の骨が結合するまで、2ヶ月~4ヶ月程、治癒期間を設けます。
STEP06
二次手術
STEP06
インプラントと顎の骨が結合しているのを確認し、被せ物(上部構造)を装着するための処置を行います。
STEP07
被せ物(上部構造)を装着
STEP07
型どりを行い、被せ物(上部構造)を装着します。


またインプラント治療を終えて
「何かあったら歯医者に行けばいいや」
というわけではありません。
インプラント治療後も定期的なメインテナンスを行うことで
お口の健康を維持することができ、インプラントも
長く使うことができます。
ぜひ、定期的なメインテナンスにお越しください。
〈月~金〉10:00~12:30 / 14:30~19:00
〈土〉10:00~12:30 / 14:30~17:00
QUESTIONよくあるご質問
手術が怖いけど
大丈夫?
インプラント治療の
相場は?
インプラント治療の
リスクって?
Q
インプラント治療をすると、
どのくらい咬めるようになりますか?
Q
入れ歯は一般的に天然歯で噛む時と比較して、咬む力は3分の1くらいになってしまうといわれています。
しかしインプラント治療であれば、咬む力は天然歯と同じぐらいになると言われています。入れ歯と比べると、インプラント治療はほとんど違和感がありません。また入れ歯は、取り外しが可能なため、直接しっかり固定されるわけでなく、ずれたりすることがありますが、インプラント治療は直接骨とくっつきますので、ずれることもなく食べ物を噛んでいる感じがあります。
Q
歯周病で歯を支えている骨が少ないと
言われたのですが治療は
可能ですか?
Q
もともと歯を失う原因は、事故などのアクシデントを除き、むし歯か歯周病がほとんどです。そのため歯周病で失った部分は骨が無いことが多くインプラントの手術を行うためには骨造成の手術を伴う事が多いです。当院では骨が薄い方や骨密度の低い方でも手術を行う事が可能です。
Q
入れ歯からインプラントにしたい
のですが可能ですか?
Q
すべてインプラントで噛み合わせを作るタイプや入れ歯をインプラントで支えるタイプ、骨が無い方には4本のインプラントで噛み合わせを作るオールオンフォーなど様々です。当院では色々な方法で対応できますので、お気軽にご相談ください。
Q
手術後は、腫れたり痛みが出たり
しますか?
Q
インプラントを埋入する手術のみの場合は、痛みも腫れも軽度のことがほとんどです。
骨造成を併用した場合や、サイナスリフト等は腫れが出やすいですので、あらかじめ手術の前から手術中にかけて、腫れ止めを併用して行っています。
Q
インプラントってむし歯には
ならないんですか?
Q
人工歯を使用するため、むし歯にはなりません。しかし、歯の周囲にむし歯菌や歯周病菌が発生しそのままにしておくと、「インプラント周囲炎」と呼ばれる炎症を起こす可能性もございます。 インプラントだからと言っても大切な歯を守るため定期的なメンテナンスは必要です。




